BS.CK2 HUỲNH THANH KIỀU(*)
BS.CK1 PHẠM PHONG LUÂN(*)
PGS.TS. BS PHẠM NGUYỄN VINH(*)
THS. BS. TRẦN THÚC KHANG(*)
BS. NGUYỄN THỊ NGỌC HÂN(**)
(*) Trung tâm Tim mạch, BV Tâm Anh TP. HCM
(**) TT Chẩn đoán hình ảnh, BV Tâm Anh TP. HCM
TỪ VIẾT TẮT
| Từ viết tắt | Tiếng Anh | Tiếng Việt |
| TLIF | Transforaminal Lumbar Interbody Fusion | Phẫu thuật hàn xương liên thân đốt sống thắt lưng qua đường lỗ liên hợp |
| MSCT | Multi-Slice Computed Tomography | CT đa lát cắt |
| HU | Hounsfield Unit | Đơn vị Hounsfield |
| PMMA | Polymethyl Methacrylate | Thành phần xi măng xương |
| PCE | Pulmonary cement embolism | Thuyên tắc phổi do xi măng xương |
Tóm tắt:
Dị vật trong tim là tình trạng hiếm gặp nhưng có thể đe dọa tính mạng, thường bắt nguồn từ các thủ thuật y khoa hoặc chấn thương. Chúng có thể bao gồm các mảnh gãy của catheter, dây dẫn, stent, dụng cụ y khoa di trú hoặc các dị vật từ bên ngoài xuyên vào. Biểu hiện lâm sàng rất đa dạng, từ không triệu chứng cho đến các biến chứng nặng nề như rối loạn nhịp, thuyên tắc hoặc thủng tim. Nhiều trường hợp được phát hiện tình cờ qua siêu âm tim hoặc các phương tiện chẩn đoán hình ảnh khác khi bệnh nhân được kiểm tra vì những bệnh lý không liên quan. Việc xử trí đòi hỏi phối hợp đa chuyên khoa để xác định chiến lược điều trị tối ưu, bao gồm theo dõi, lấy dị vật qua da hoặc phẫu thuật tim hở.
Trong số các dị vật này, di trú xi măng xương vào tim là biến chứng hiếm gặp của thủ thuật tạo hình cột sống (vertebroplasty hoặc kyphoplasty), thường được thực hiện để điều trị gãy lún đốt sống do loãng xương hoặc chấn thương. Tỷ lệ xi măng xương di trú vào buồng tim được báo cáo khoảng 3,9%, nhưng tỷ lệ có triệu chứng thấp (0,3%). Xi măng xương có thể di chuyển theo hệ tĩnh mạch đến tim phải hoặc động mạch phổi, gây ra các biến chứng nghiêm trọng. Bệnh nhân không triệu chứng có thể được theo dõi kết hợp điều trị kháng đông, trong khi những bệnh nhân có triệu chứng, nguy cơ thủng tim hoặc thuyên tắc cao nên được cân nhắc can thiệp lấy dị vật qua da hoặc phẫu thuật tim hở. Chúng tôi báo cáo một trường hợp phát hiện tình cờ xi măng xương trong thất phải sau phẫu thuật cố định cột sống, nhấn mạnh tầm quan trọng của chẩn đoán sớm và lựa chọn phương pháp điều trị cá thể hóa.
ĐẶT VẤN ĐỀ
Dị vật trong buồng tim là tình trạng hiếm gặp nhưng có thể đe dọa tính mạng, thường xuất phát từ nguyên nhân do can thiệp y khoa (iatrogenic) hoặc chấn thương. Các dị vật này bao gồm đoạn catheter, guidewire (dây dẫn), stent, vật liệu y khoa di trú hoặc dị vật xuyên thấu từ bên ngoài. Biểu hiện lâm sàng rất đa dạng, từ không triệu chứng đến các biến chứng nghiêm trọng. Việc phát hiện thường tình cờ qua siêu âm tim hoặc các phương tiện hình ảnh khác khi bệnh nhân được thăm khám vì một bệnh lý khác. Đánh giá và xử trí dị vật trong tim đòi hỏi phối hợp đa chuyên khoa, bao gồm tim mạch, ngoại tim mạch, gây mê và hình ảnh học, nhằm lựa chọn phương pháp điều trị tối ưu giữa bảo tồn, lấy qua đường nội mạch hay phẫu thuật hở.
Trong số các dị vật trong tim, vật liệu xi măng xương di trú vào buồng tim là biến chứng hiếm gặp của thủ thuật tạo hình đốt sống (vertebroplasty) hoặc tạo hình cột sống (kyphoplasty) điều trị gãy xẹp đốt sống do loãng xương hoặc chấn thương. Tỷ lệ xi măng gây thuyên tắc trong buồng tim ghi nhận khoảng 3.9%, nhưng tỷ lệ gây biến chứng có triệu chứng chỉ khoảng 0,3%[1]. Xi măng có thể di chuyển theo hệ tĩnh mạch về tim phải và động mạch phổi, gây ra các biến chứng như loạn nhịp, thuyên tắc, viêm nội tâm mạc, thậm chí thủng tim dẫn đến tử vong. Hướng xử trí phụ thuộc vào triệu chứng và nguy cơ: bệnh nhân không triệu chứng có thể được theo dõi kết hợp điều trị chống đông, trong khi các trường hợp có triệu chứng hoặc dị vật di động, nguy cơ thủng hoặc thuyên tắc cao nên được chỉ định lấy dị vật qua đường nội mạch hoặc phẫu thuật tim hở. Báo cáo ca lâm sàng dưới đây minh họa một trường hợp điển hình phát hiện tình cờ dị vật xi măng trong thất phải sau phẫu thuật cố định cột sống, qua đó nhấn mạnh tầm quan trọng của chẩn đoán sớm và lựa chọn điều trị phù hợp.
CA LÂM SÀNG
Bệnh nhân nữ, 70 tuổi, tiền sử bệnh cơ tim giãn nở, tăng huyết áp, đái tháo đường típ 2, rối loạn lipid máu, nhồi máu não cũ (10/2020), suy tĩnh mạch chi dưới, phẫu thuật cố định và hàn khớp liên thân đốt cột sống thắt lưng – cùng (TLIF) tại bệnh viện X cách 4 tháng. Thuốc điều trị đang dùng gồm Nebivolol, Candesartan, Atorvastatin/Ezetimibe, Clopidogrel và Diosmin/Hesperidin.
Khoảng tám tháng trước nhập viện, bệnh nhân xuất hiện đau khớp vai phải sau khi làm vườn, đau tăng khi đưa tay lên cao hoặc ra sau, có uống thuốc giảm đau. Một tháng gần đây, triệu chứng đau tăng dần, hạn chế rõ vận động và tầm với, nên được nhập khoa Chấn thương Chỉnh hình với chẩn đoán rách chóp xoay vai phải và dự kiến phẫu thuật khâu gân. Trong khám tiền phẫu, bệnh nhân có nhiều yếu tố nguy cơ tim mạch nên được chụp MSCT động mạch vành trước mổ. Kết quả cho thấy hệ mạch vành bình thường, không hẹp nhưng phát hiện một dải đậm độ cao trong buồng thất phải, kích thước 55 x 3 mm, đậm độ khoảng 2500 HU, bờ kém đều, gợi ý dị vật là vật liệu xi măng xương, di trú sau phẫu thuật cột sống, nên bệnh nhân được chuyển khoa Tim mạch theo dõi và điều trị tiếp.
Khám lâm sàng ghi nhận bệnh nhân tỉnh, tiếp xúc tốt, tổng trạng tốt (BMI 25), sinh hiệu M: 68 lần/phút, HA: 150/90 mmHg, SpO₂ 98%. Ngoài khớp vai phải đau, các sinh hoạt thường ngày của bệnh nhân không gây đau ngực hay khó thở. Khám bệnh nhân niêm hồng, không phù, tim đều, rõ, không âm thổi, phổi không ran, thông khí đều hai bên, bụng mềm, gan không to, không điểm đau. Vai phải đau và hạn chế cử động. ECG ghi nhận nhịp xoang 65 lần/phút, sóng T âm từ V2 đến V5. MRI vai phải cho thấy rách gần toàn bộ gân cơ trên gai, viêm nhiều gân quanh khớp và thoái hóa khớp cùng – đòn. Siêu âm tim ghi nhận EF 46%, hình ảnh có cấu trúc dài tăng âm bất thường trong thất phải tương ứng với tổn thương trên CT, hở van 2 lá nhẹ, hở van 3 lá nhẹ, áp lực động mạch phổi bình thường (PAPs= 30 mmHg).
Chẩn đoán xác định của bệnh nhân là dị vật trong thất phải, nghĩ nhiều do xi măng xương di trú sau TLIF; rách gân chóp xoay vai phải; suy tim EF cải thiện, bệnh cơ tim dãn nở; tăng huyết áp; đái tháo đường típ 2; rối loạn lipid máu; nhồi máu não cũ; suy tĩnh mạch chi dưới. Bệnh nhân được hội chẩn đa chuyên khoa, phối hợp để quyết định chiến lược điều trị tối ưu cho người bệnh.
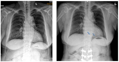
Hình 1: Hình X-quang ngực trước khi mổ cột sống (hình trái); Hình ảnh X-quang ngực thẳng thấy được dãy tăng sáng nằm ở vị trí tim phải (mũi tên) (hình phải).

Hình 2: Hình ảnh dị vật tăng sáng dài nằm trong buồng thất phải, kích thước 55 x 3 mm, ít di động (mũi tên vàng). A: Hình siêu âm tim; B: Hình chụp cắt lớp vi tính tim; C: Hình ảnh dị vật xi măng xương sau khi xoá bỏ phần cơ tim trên phim MSCT.
BÀN LUẬN
Dị vật trong buồng tim – Nguyên nhân, chẩn đoán và xử trí
Nguyên nhân và tần suất: Sự hiện diện của dị vật bên trong buồng tim là tình trạng hiếm gặp. Nguyên nhân có thể do chấn thương trực tiếp (như vết thương do đạn, mảnh kim loại trong chiến tranh) hoặc do di chuyển qua đường tĩnh mạch trong các thủ thuật y khoa. Các dị vật tim thường được báo cáo gồm mảnh đạn hoặc các mảnh vỡ kim loại; ngoài ra, các phần gãy của dụng cụ y khoa (như đầu catheter tĩnh mạch, kim tiêm, stent, vật liệu y khoa di trú) cũng có thể theo hệ tĩnh mạch về tim. Mặc dù hiếm, y văn ghi nhận khoảng 0,3% trường hợp vết thương do đạn có thể dẫn đến thuyên tắc dị vật ở tim hoặc động mạch phổi. Trong những trường hợp đạn/mảnh vỡ di chuyển qua hệ tĩnh mạch, 83% dị vật sẽ dừng tại tim phải hoặc động mạch phổi, chỉ 4% nằm lại ở tĩnh mạch ngoại biên [2].
Triệu chứng và chẩn đoán: Lâm sàng của dị vật trong tim rất đa dạng, nhiều trường hợp không có triệu chứng và được phát hiện tình cờ. Tuy nhiên, dị vật có thể gây rối loạn nhịp tim, viêm màng ngoài tim, thuyên tắc phổi hoặc thuyên tắc hệ thống, tổn thương van tim, hình thành huyết khối hay nhiễm trùng nội tâm mạc. Triệu chứng có thể xuất hiện ngay sau khi dị vật vào tim (đau ngực, khó thở, đánh trống ngực) hoặc muộn hơn, tùy vị trí và kích thước dị vật. Chẳng hạn, mảnh kim loại di trú có thể gây loạn nhịp hoặc hở van nếu kẹt vào cấu trúc van tim. Việc chẩn đoán dựa trên hình ảnh học giữ vai trò quyết định. X-quang ngực thường là phương tiện phát hiện đầu tiên đối với dị vật cản quang (như kim loại, xi măng). Sau đó, siêu âm tim là phương pháp quan trọng để xác định vị trí chính xác của dị vật trong buồng tim và đánh giá ảnh hưởng huyết động (ví dụ: mức độ hở van, chức năng tim, thủng tim). Siêu âm qua thành ngực có thể phát hiện hình ảnh echo dày sáng bất thường; siêu âm tim qua thực quản giúp quan sát rõ dị vật nhỏ hoặc ở vị trí phía sau khó phát hiện. Ngoài ra, MSCT tim hoặc ngực cung cấp hình ảnh không gian 3 chiều, xác định chính xác vị trí dị vật đối chiếu với giải phẫu tim và mạch máu. Trong thực hành, phối hợp siêu âm tim và CT giúp chẩn đoán và lập kế hoạch can thiệp an toàn.
Hướng xử trí dị vật trong tim: Nguyên tắc chung là cần cân nhắc nguy cơ – lợi ích giữa can thiệp lấy dị vật với để lại theo dõi tùy từng trường hợp. Trước đây, nhiều tác giả đề nghị loại bỏ tất cả dị vật trong tim dù có triệu chứng hay không, do lo ngại các biến chứng muộn[3]. Tuy nhiên hiện nay, cách tiếp cận có chọn lọc hơn được khuyến cáo dựa trên tình trạng bệnh nhân và đặc điểm dị vật. Các khuyến cáo chính có thể tóm tắt như sau [2]:
- Bắt buộc can thiệp (phẫu thuật hoặc can thiệp nội mạch) nếu dị vật có triệu chứng hoặc gây biến chứng: Bao gồm các trường hợp gây nhiễm trùng (viêm nội tâm mạc), rối loạn nhịp nặng hoặc triệu chứng thần kinh do thuyên tắc; những dị vật gây rối loạn huyết động, tổn thương cấu trúc trong tim hoặc ảnh hưởng trầm trọng đến chức năng van tim đều cần lấy ra ngay, bất kể vị trí ở đâu. Thật vậy, dị vật gây thủng vách tim, kẹt van hoặc suy tim cấp là chỉ định mổ cấp cứu rõ ràng.
- Can thiệp chủ động ở dị vật không triệu chứng nhưng có nguy cơ biến chứng cao: Nếu dị vật được phát hiện sớm sau chấn thương/thủ thuật và có nguy cơ gây nhiễm trùng, thuyên tắc xa hoặc ăn mòn mô tim thì nên chủ động lấy ra. Ví dụ, một đầu catheter gãy trong tim có thể là nguồn nhiễm trùng hoặc huyết khối sau này, do đó nên được lấy sớm dù chưa có triệu chứng.
- Theo dõi bảo tồn chỉ được cân nhắc ở trường hợp dị vật không triệu chứng với nguy cơ biến chứng thấp: Thường áp dụng khi dị vật nhỏ, nằm cố định sâu trong cơ tim hoặc màng ngoài tim, và việc phẫu thuật lấy ra có thể nguy hiểm hơn. Những trường hợp dị vật đã cắm sâu vào cơ tim hoặc nằm im nhiều năm có thể quan sát dưới sự theo dõi chặt chẽ (ví dụ chụp X-quang, siêu âm tim định kỳ) nếu nguy cơ phẫu thuật cao hơn lợi ích. Trường hợp không triệu chứng, nếu bệnh nhân đủ sức khỏe và nguy cơ phẫu thuật thấp, việc can thiệp lấy dị vật được xem xét để loại bỏ mối nguy hiểm tiềm tàng.
Phương pháp can thiệp: Lựa chọn phương pháp phụ thuộc vào tính chất và vị trí dị vật. Phẫu thuật mở tim (dưới tuần hoàn ngoài cơ thể) là phương án truyền thống và vẫn là chủ lực, đặc biệt với dị vật lớn, nhiều, nằm ở tim trái hoặc ghim vào mô tim. Phẫu thuật cho phép lấy trọn dị vật và xử lý tổn thương (ví dụ khâu lỗ thủng tim, sửa chữa hoặc thay van tim nếu bị rách do dị vật)[4]. Trường hợp dị vật nhiễm bẩn (như mảnh đạn) cần phối hợp rửa buồng tim bằng dung dịch kháng sinh và sử dụng kháng sinh kéo dài sau mổ. Ngược lại, với dị vật nằm ở buồng tim phải hoặc trong mạch máu lớn và tự do trong lòng mạch, phương pháp lấy dị vật qua đường ống thông (can thiệp nội mạch) ngày càng được áp dụng. Các dụng cụ như snare (thòng lọng), rọ Dormia… có thể được đưa qua tĩnh mạch đùi hoặc tĩnh mạch cảnh trong để “bắt” dị vật và rút ra ngoài mà không cần phẫu thuật mở ngực. Nhiều báo cáo ca cho thấy thành công trong việc lấy các đoạn catheter gãy, dây dẫn, thậm chí mảnh đạn nhỏ bằng phương pháp này [5]. Tất nhiên, kỹ thuật nội mạch chỉ phù hợp khi dị vật có hình dạng và vị trí thuận lợi (ví dụ: đoạn ống thông nằm trôi tự do trong nhĩ phải). Trong mọi trường hợp, quá trình can thiệp cần dưới hướng dẫn của siêu âm hoặc chụp mạch liên tục để đảm bảo an toàn.
Dị vật xi măng xương trong buồng tim
Tỷ lệ và yếu tố nguy cơ: Xi măng xương (PMMA) được sử dụng phổ biến trong thủ thuật bơm xi măng tạo hình thân đốt sống (vertebroplasty/kyphoplasty) để điều trị xẹp đốt sống do loãng xương hoặc di căn. Biến chứng rò rỉ xi măng ra ngoài thân đốt sống gặp khá thường xuyên (tỷ lệ rò rỉ chung từ 38% đến trên 80%, tùy định nghĩa)[6], nhưng đa phần không triệu chứng. Thuyên tắc xi măng xảy ra khi xi măng lỏng rò rỉ vào hệ tĩnh mạch cạnh sống rồi chảy về tĩnh mạch chủ và động mạch phổi[22]. Tỷ lệ biến chứng thuyên tắc xi măng ở phổi (pulmonary cement embolism – PCE) được báo cáo rất khác nhau, khoảng từ 2–3% đến 26% các ca bơm xi măng, tùy thuộc vào kỹ thuật phát hiện (X-quang thường quy hay với CT tầm soát)[7]. Một nghiên cứu hồi cứu lớn (1.373 bệnh nhân) ghi nhận PCE ở 2,33% trường hợp, với các yếu tố nguy cơ độc lập gồm rò rỉ xi măng vào đám rối tĩnh mạch cạnh sống và có tiền sử phẫu thuật cột sống trước đó [6]. Nhìn chung, các yếu tố làm tăng nguy cơ thuyên tắc xi măng bao gồm: số lượng đốt sống được bơm càng nhiều, vị trí bơm ở cột sống ngực (do gần tĩnh mạch đơn – azygos), lượng xi măng bơm lớn, độ nhớt xi măng thấp hoặc bơm áp lực cao, và tình trạng xương loãng nặng hoặc có ổ tiêu xương (khiến xi măng dễ tràn vào mạch)[4]. Thật vậy, bệnh nhân loãng xương hoặc có u di căn phá hủy xương, kèm tiêm lượng xi măng lớn dưới áp lực, dễ bị rò xi măng vào tuần hoàn[4]. Ngoài ra, kỹ thuật bơm không tối ưu (kim chọc quá sâu, trộn xi măng loãng) cũng làm tăng nguy cơ rò rỉ[8].
Khi xi măng lọt vào tuần hoàn, thường nó sẽ theo dòng máu lên tim phải và động mạch phổi. Đa số trường hợp xi măng dừng tại nhánh động mạch phổi (do đường kính mạch nhỏ dần), gây thuyên tắc phổi dạng đặc biệt. Tuy nhiên, nếu khối xi măng dài và mảnh, nó có thể qua van 3 lá vào buồng tim phải thay vì trôi hết vào động mạch phổi. Kết quả là hình thành dị vật xi măng trong buồng tim – thường là ở nhĩ phải, thất phải, hoặc vắt qua van ba lá. Biến chứng này là một dạng thuyên tắc trong buồng tim hiếm gặp. Tỷ lệ chính xác của dị vật xi măng trong tim chưa rõ do cực kỳ hiếm; chủ yếu được biết qua các báo cáo ca lâm sàng. Tuy rất hiếm gặp, thuyên tắc xi măng vào tim đã được y văn thế giới ghi nhận ngày càng nhiều trong 10-15 năm trở lại đây.
Chẩn đoán dị vật xi măng trong tim: Sau thủ thuật bơm xi măng, bệnh nhân thường được chụp X-quang ngực kiểm tra. Nếu thấy hình ảnh xi măng cản quang bất thường trên phim (ví dụ: đường mảnh cản quang chạy lên phổi hoặc tim), cần nghĩ đến biến chứng thuyên tắc xi măng. Triệu chứng lâm sàng của thuyên tắc xi măng rất thay đổi. Phần lớn bệnh nhân không có biểu hiện cấp tính; nhiều trường hợp chỉ phát hiện qua X-quang hoặc MSCT sau thủ thuật mà bệnh nhân không hề khó thở rõ[9]. Tuy nhiên, một số bệnh nhân sẽ có đau ngực, khó thở, ho khan, đánh trống ngực ngay sau thủ thuật hoặc vài ngày sau đó, do xi măng gây phản ứng viêm và tắc mạch phổi. Đặc biệt, khi xi măng lọt vào tim, có thể xuất hiện rối loạn nhịp tim, tụt huyết áp hoặc tiếng thổi van tim mới xuất hiện (nếu xi măng kẹt van). Trường hợp nghi ngờ, cần lập tức chụp cắt lớp vi tính lồng ngực để xác định vị trí và kích thước thuyên tắc xi măng. MSCT có độ nhạy cao, sẽ cho thấy hình ảnh cản quang của xi măng trong lòng động mạch phổi hoặc buồng tim. Siêu âm tim cần được làm ngay khi nghi ngờ có dị vật trong tim. Siêu âm qua thành ngực có thể thấy khối phản âm sáng trong buồng nhĩ/thất phải, đôi khi kéo dài qua van ba lá[4]. Siêu âm tim qua thực quản đặc biệt hữu ích để đánh giá chi tiết nhỏ hoặc nằm phía sau mà siêu âm thành ngực hình ảnh không rõ nét. Như vậy, chẩn đoán xác định dựa vào hình ảnh học: X-quang phát hiện gợi ý, MSCT xác định vị trí, và siêu âm tim đánh giá tác động huyết động của dị vật xi măng.
Hướng điều trị dị vật xi măng trong tim: Do xi măng không tan và có thể gây tổn thương cơ học nghiêm trọng, hầu hết tác giả đều khuyến cáo can thiệp khi phát hiện xi măng trong tim. Hiện chưa có hướng dẫn chuyên biệt từ ACC/AHA hay ESC dành riêng cho biến chứng này. Vì vậy, xử trí chủ yếu dựa trên kinh nghiệm các ca lâm sàng và nguyên tắc chung về dị vật trong tim. Nếu mảnh xi măng nhỏ, nằm hoàn toàn trong nhánh động mạch phổi ngoại biên và không gây triệu chứng, có thể lựa chọn điều trị bảo tồn: theo dõi lâm sàng, dùng thuốc chống đông dự phòng huyết khối thứ phát quanh dị vật và theo dõi định kỳ bằng hình ảnh[9]. Tuy nhiên, với dị vật xi măng trong buồng tim phải, đa số trường hợp báo cáo đều tiến hành can thiệp lấy dị vật do nguy cơ biến chứng. Can thiệp phẫu thuật mở được ưu tiên nếu dị vật lớn, có hình dạng phức tạp hoặc đã gây tổn thương tim (thủng, rách van).
Bên cạnh phẫu thuật mở, một số ít trường hợp có thể xem xét can thiệp nội mạch. Nếu khối xi măng nằm lơ lửng trong nhĩ phải hoặc đoạn đầu động mạch phổi (giống thuyên tắc huyết khối), các bác sĩ can thiệp có thể dùng dụng cụ (như snare) qua đường tĩnh mạch đùi để kéo dị vật ra. Sau thủ thuật lấy dị vật, dù bằng phương pháp nào, bệnh nhân thường được khuyến cáo dùng kháng đông một thời gian ngắn nhằm ngăn hình thành huyết khối thứ phát trên vị trí tổn thương nội mạc do xi măng gây ra[9].
Đặc điểm dị vật xi măng cần can thiệp sớm: Không phải tất cả thuyên tắc xi măng đều bắt buộc phẫu thuật, nhưng có một số đặc điểm nếu hiện diện thì nguy cơ biến chứng nghiêm trọng cao, đòi hỏi can thiệp càng sớm càng tốt:
- Xi măng có dạng dài, sắc nhọn xuyên thủng mô tim: Đây là tình huống nguy hiểm nhất. Xi măng có thể đâm thủng thành tim gây tràn máu màng tim dẫn đến chèn ép tim cấp[8][10]. Deng et al. (Frontiers Surg 2023) báo cáo một ca xi măng dạng thanh dài khoảng 8 cm đâm xuyên vách thất phải gây thủng tim – bệnh nhân này nhanh chóng bị sốc và tràn dịch màng tim cấp đe dọa tính mạng[10].
- Dị vật xi măng di động tự do trong buồng tim: Nếu mảnh xi măng không cố định mà đu đưa theo dòng máu, nguy cơ nó di chuyển và gây tắc nghẽn cơ học đột ngột rất cao. Mặt khác, dị vật di động có thể văng đập vào thành tim gây loạn nhịp nguy hiểm.
- Dị vật gắn vào cấu trúc van tim gây rối loạn huyết động: Trường hợp xi măng kẹt trong bộ máy van ba lá hoặc van động mạch phổi, gây hở van nặng hoặc cản trở dòng máu, cần can thiệp sớm.
- Kích thước dị vật lớn và nằm ở vị trí quan trọng: Mảnh xi măng quá dài (vài cm) hoặc nhiều mảnh cùng lúc sẽ tăng nguy cơ biến chứng. Khối lớn có thể gây tắc mạch phổi diện rộng, hoặc đơn thuần chiếm thể tích trong tim gây cản trở huyết động.
Tóm lại, bất kỳ trường hợp dị vật xi măng nào có dấu hiệu tổn thương tim (thủng tim, tràn dịch màng tim), rối loạn huyết động, tổn thương van, hoặc nguy cơ di lệch đều được xem là cấp cứu ngoại khoa. Các trường hợp khác cần đánh giá kỹ bởi các chuyên gia, nhưng xu hướng chung vẫn là lấy bỏ dị vật sớm do tiềm năng biến chứng về sau.
KẾT LUẬN
Nhìn chung, tổng kết y văn cho thấy dị vật xi măng buồng tim là biến chứng rất hiếm nhưng ngày càng được nhận diện nhiều hơn nhờ cảnh giác lâm sàng và tiến bộ chẩn đoán hình ảnh. Các báo cáo trong vòng 10 năm qua đã giúp định hình chiến lược xử trí: đa số bệnh nhân cần can thiệp tích cực (phẫu thuật mở) và có tiên lượng tốt nếu xử trí kịp thời, nhưng cũng nhấn mạnh rằng chậm trễ hoặc biến chứng nặng có thể dẫn đến tử vong. Do đó, bài học rút ra là cần phòng ngừa rò rỉ xi măng ngay từ đầu, đồng thời phải theo dõi sát sau thủ thuật tạo hình thân sống. Khi đã phát hiện xi măng trong tim, cần huy động đa chuyên khoa đánh giá và xử trí nhanh chóng, dựa trên các nguyên tắc an toàn cho người bệnh.
TÀI LIỆU THAM KHẢO:
- Fadili Hassani S, Cormier E, Shotar E, et al. Intracardiac cement embolism during percutaneous vertebroplasty: incidence, risk factors and clinical management. Eur Radiol. 2019;29(2):663–73.
- Memmedov V. et al. Intracardiac foreign bodies: Diagnosis and management. J Clin Med Kaz. 2023; 20(5):68-71.
- Kumar R, Rana SS, Kumar S, et al. Management of Accidental and Iatrogenic Foreign Body Injuries to Heart: Case Series. Journal of Clinical and Diagnostic Research. 2017;11(3):PE01-PE04. doi:10.7860/JCDR/2017/23847.9336.
- Yang KJ, et al. Bone cement embolism into the right heart. JTCVS Tech. 2022;16:64-67.
- Zwiauer K, Grabenwöger F, Lachmann D, et al. Nonsurgical removal of iatrogenic intracardiac foreign bodies. A study in a 5-month-old infant. Monatsschr Kinderheilkd. 1987 Nov;135(11):784-6. German. PMID: 3431560.
- Guo H, Huang H, Shao Y, et al. Risk Factors for Pulmonary Xi măng Embolism (PCE) After Polymethylmethacrylate Augmentation: Analysis of 32 PCE Cases. Neurospine. 2021;18(4):806-815. DOI: https://doi.org/10.14245/ns.2142616.308.
- Rothermich MA, Buchowski JM, Bumpass DB, Patterson GA. Pulmonary xi măng embolization after vertebroplasty requiring pulmonary wedge resection. Clin Orthop Relat Res. 2014 May;472(5):1652-7. doi: 10.1007/s11999-014-3506-0. Epub 2014 Feb 15. PMID: 24532433; PMCID: PMC3971236.
8.Deng K, Yu J-L, Feng Y-J, Huang K, Wu G-F. Case report: Inspiration from a rare fatal heart perforation after percutaneous vertebroplasty. Front Surg. 2023;10:1227056. doi:10.3389/fsurg.2023.1227056.
- Kalekar, T, Kumar, M.K., Dahiya, A. et al. Pulmonary cement embolism: a complication following vertebroplasty – a case report with brief review of literature. Egypt J Bronchol.17, 28 (2023). https://doi.org/10.1186/s43168-023-00202-9.
- Deng K, et al. Heart perforation after percutaneous vertebroplasty – case report. Front Surg. 2023;10:1227056.







