PGS.TS.BS. ĐINH HIẾU NHÂN
Bộ môn Nội Tổng quát, Trường Y
Đại học Y Dược Tp. Hồ Chí Minh
Tóm tắt:
Bệnh cơ tim thể xốp là một rối loạn cơ tim hiếm gặp, đặc trưng bởi sự hình thành mô cơ tim bất thường, thường ảnh hưởng đến tâm thất trái, trong đó cơ tim hai lớp có lớp xốp dày bất thường, giống như bọt biển và lớp cơ tim mỏng hơn, nén chặt. Bệnh được phân loại là bệnh cơ tim nguyên phát có nguồn gốc di truyền, thường ảnh hưởng đến tâm thất trái; tuy nhiên, không nén thất phải và hai thất cũng đã được mô tả. Chẩn đoán bệnh cơ tim thể xốp chủ yếu dựa vào hình ảnh học tim như siêu âm tim qua thành ngực và chụp cộng hưởng từ tim. Tiêu chuẩn chẩn đoán cho cả siêu âm tim và chụp cộng hưởng từ tim đều khác nhau, tuy nhiên, nguyên tắc chung của chẩn đoán là so sánh độ dày của mô cơ tim không nén và nén. Bệnh cơ tim thể xốp thường không có triệu chứng, tuy nhiên, trong một số trường hợp, bệnh có thể gây ra nguy cơ cao về huyết khối tắc mạch, rối loạn chức năng tâm thất trái, suy tim, rối loạn nhịp tim và đột tử do tim. Chúng tôi báo cáo hai trường hợp bệnh cơ tim thể xốp với biểu hiện suy tim và cách tiếp cận chẩn đoán, điều trị ở thời điểm hiện tại.
Từ khoá: Bệnh cơ tim thể xốp, suy tim.
I. GIỚI THIỆU
Bệnh cơ tim thể xốp là một thể bệnh cơ tim hiếm gặp, đặc trưng bởi sự hiện diện của cơ tim hai lớp, trong đó lớp bè cơ xốp dày bất thường với cấu trúc giống như bọt biển, và lớp cơ tim đặc mỏng hơn [1]. Bệnh được phân loại là một dạng bệnh cơ tim nguyên phát có nguồn gốc di truyền, thường ảnh hưởng đến thất trái; tuy nhiên, đã có mô tả về các trường hợp xốp cơ tim thất phải và cả hai thất. Bệnh có thể liên quan đến các rối loạn thần kinh cơ, dị tật tim bẩm sinh, và bất thường nhiễm sắc thể. Cách phân loại này hiện còn gây tranh cãi, vì tỷ lệ giữa lớp cơ bè xốp và lớp cơ đặc – tiêu chuẩn được sử dụng trong chẩn đoán – cũng được ghi nhận ở tới 20% số người không có biểu hiện bệnh cơ tim. Ngoài ra, sự gia tăng tỷ lệ lớp cơ bè cũng được quan sát thấy trong một số quá trình sinh lý bình thường như thai kỳ và ở vận động viên, có thể liên quan đến sự gia tăng tiền tải. Các nghiên cứu gần đây cho thấy thuật ngữ “thể xốp” có thể chưa chính xác, vì bằng chứng cho thấy lớp cơ bè phát triển độc lập với lớp cơ đặc, thay vì do quá trình hóa đặc bị gián đoạn như giả thiết ban đầu. Tác giả Petersen và đồng thuận chuyên gia đã quyết định thay thế thuật ngữ “thể xốp – non compaction” thành tăng sinh cơ bè thất trái [2]. Do tần suất tăng sinh cơ bè khá thường gặp trong dân số, cho nên những trường hợp cần phân biệt kiểu hình tăng sinh cơ bè là sinh lý hay bệnh lý quan trọng trong chẩn đoán, điều trị và theo dõi bệnh. Bệnh cơ tim thể xốp thường không có triệu chứng, tuy nhiên trong một số trường hợp, bệnh có thể dẫn đến nguy cơ huyết khối tắc mạch, rối loạn chức năng tâm thất trái, suy tim, rối loạn nhịp tim, và đột tử do tim. Bệnh cũng có thể đi kèm với các dị tật tim bẩm sinh như thông liên thất, hẹp van động mạch phổi, dị tật Ebstein, hội chứng thiểu sản tim trái và van động mạch chủ hai lá. Đến nay chưa có điều trị đặc hiệu, điều quan trọng là theo dõi và kiểm soát nguy cơ xuất hiện các biến chứng liên quan đến diễn tiến bệnh.
II. BÁO CÁO TRƯỜNG HỢP LÂM SÀNG
Trường hợp 1.
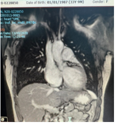
Bệnh nhân nữ, sinh năm 1987. Mã hồ sơ: N20-0228850. Đến khám bệnh tại Khoa Khám bệnh – Bệnh viện Đại học Y Dược Tp. Hồ Chí Minh (8/12/2020) vì lý hồi hộp đánh trống ngực.
Bệnh nhân thỉnh thoảng hồi hộp đánh trồng ngực và không ghi nhận bệnh lý gì trong tiền căn.
Khám lâm sàng: Sinh hiệu ổn định, mạch 90 lần/ phút, huyết áp 110/70mmHg, không phù, không tĩnh mạch cổ nổi. Tim đều rõ, không nghe âm thổi bệnh lý. Phổi trong. Gan không to.
Cận lâm sàng: eGFR: 98,23mL/ph/1,73m2, Hct: 0,39 L/L, NT Pro-BNP = 106ng/L.
Điện tâm đồ: Nhịp xoang đều.
Siêu âm tim: Đường kính thất trái thì tâm trương (LVDd) = 62mm, phân suất tống máu (EF) = 38% (phương pháp Simpson).
Chụp cộng hưởng từ tim có tiêm tương phản từ (MRI): Chức năng tâm thu thất trái giảm (EF= 27,9%). Dãn thất trái. Giảm động các thành thất. Ghi nhận có tăng sinh lớp cơ bè ở thành trước, thành bên, thành dười vùng giữa và vùng mỏm tạo thành các khe sâu, tỉ lệ cơ bè/ cơ tim lớn nhất ở thành bên vùng giữa #2,3, gợi ý bệnh cơ tim xốp. Chức năng tâm thu thất phải giảm (EF=28,8%).

Hình 1. Hình ảnh chụp cộng hưởng từ tim trường hợp 1
Bệnh nhân được chẩn đoán bệnh cơ tim thể xốp thất trái, suy tim phân suất tống máu giảm. Bệnh nhân được theo dõi và điều trị tại Khoa Khám bệnh với Uperio 100mg/ ngày, Verospiron 50mg/ ngày, Betaloc Zok 25mg/ ngày và Dapagliflozin 10mg/ ngày. Diễn tiến bệnh ổn định, hết triệu chứng hồi hộp.
Trường hợp 2.
Bệnh nhân nữ, sinh năm 2000. Mã hồ sơ: N25-0082382. Đến khám tại Khoa Khám bệnh – Bệnh viện Đại học Y Dược TpHCM (19/4/2025) để đánh giá trước thụ tinh trong ống nghiệm. Bệnh nhân thỉnh thoảng mệt khi gắng sức, không ghi nhận tiền căn về bệnh lý tim mạch.
Khám lâm sàng mạch đều 84 lần/ phút, huyết áp 110/70 mmHg. Tim đều rõ, không âm bệnh lý. Phổi trong,không ran. Bụng mềm, gan lách không sờ chạm.
Cận lâm sàng: Ure = 24,57 mg/dL, eGFR = 123 mL/phút/1,73m2.
ASAT = 23 U/L, ALAT= 17 U/L.
NT Pro-BNP = 43ng/L
Điện tâm đồ: Nhịp xoang đều.
Siêu âm tim: Đường kính thất trái thì tâm trương (LVDd) = 61mm, phân suất tống máu (EF) = 56% (phương pháp Simpson).
Chụp cắt lớp vi tính động mạch vành: Không bất thường hệ thống động mạch vành.
Chụp cộng hưởng từ tim có tiêm tương phản từ: Hình ảnh bệnh cơ tim thể xốp thất trái và thất phải. Phân suất tống máu thất trái (EF) = 38,34%. Tỉ lệ cơ bè/ cơ tim # 3,3.

Hình 2. Hình ảnh chụp cộng hưởng từ tim trường hợp 2
Bệnh nhân được chẩn đoán bệnh cơ tim thể xốp thất trái và thất phải, suy tim phân suất tống máu giảm. Bệnh nhân được theo dõi và điều trị tại Khoa Khám bệnh với Uperio 200mg/ ngày, Verospiron 25mg/ ngày, Bisoprolol 2,5mg/ ngày và Empagliflozin 10mg/ ngày. Diễn tiến bệnh ổn định, bệnh nhân thấy khoẻ hơn, hết triệu chứng mệt khi gắng sức.
III. BÀN LUẬN
III.1. Bệnh cơ tim thể xốp: là một rối loạn bẩm sinh hiếm gặp, với tỷ lệ hiện mắc dưới 0,02% dân số [1]. Bệnh có thể di truyền theo kiểu trội trên nhiễm sắc thể thường và/hoặc xuất hiện rải rác, liên quan đến đột biến gen sarcomere, có thể phân biệt được thông qua tầm soát gia đình. Các gen liên quan đến bệnh có nhiều điểm tương đồng với các gen gây bệnh cơ tim phì đại và bệnh cơ tim giãn. Tuy nhiện các nghiên cứu gần đây của Jenni, Oechslin và cộng sự cho thấy tăng sinh cơ bè có thể là biến thể bình thường hoặc phản ứng sinh lý đối với sự tăng tiền tải hoặc hậu tải, chẳng hạn như luyện tập thể thao và mang thai [3][4]. Do vậy hiện nay, các chuyên gia cho rằng có hai cơ chế sinh bệnh riêng biệt có thể dẫn đến kiểu hình tăng bè cơ thất trái:
A. Đột biến gen dẫn đến sự phát triển quá mức của lớp cơ bè so với lớp cơ đặc. Dạng này thường xuất hiện từ thời thơ ấu và có liên quan đến các đột biến gen đã biết, rối loạn thần kinh cơ, và dị dạng cấu trúc tim.
B. Tình trạng sinh lý làm tăng tiền tải gây nên hiện tượng tăng bè cơ trong thất trái – bao gồm thai kỳ, luyện tập thể thao, và bệnh huyết sắc tố. Những trường hợp này thường gặp ở người lớn và có khả năng hồi phục, thậm chí có thể là một biến thể bình thường ở một số cá thể.
Biểu hiện lâm sàng
Biểu hiện lâm sàng của bệnh rất đa dạng, từ không có triệu chứng cho đến các biểu hiện như suy tim, rối loạn nhịp tim, huyết khối tắc mạch và đột tử do tim. Bệnh thường gặp ở trẻ em và người trưởng thành trung niên dưới 50 tuổi. Có tới 84% bệnh nhân báo cáo triệu chứng suy tim điển hình như khó thở, chóng mặt, tăng cân không rõ nguyên nhân, phù và ngất xỉu, trong khi 38% có biến chứng huyết khối tắc mạch [5][6].
Chẩn đoán
Bệnh có thể được chẩn đoán thông qua chụp cắt lớp vi tính, cộng hưởng từ tim, chụp thất có cản quang, và siêu âm tim [7]. Tiêu chuẩn Jenni [8] được sử dụng khá phổ biến trong chẩn đoán dựa trên siêu âm tim, tuy nhiên hạn chế của siêu âm tim khó đánh giá vùng mỏm thất trái, bề dày thất trái, do đó rất nhiều trường hợp không thể chẩn đoán được. Giới hạn này của siêu âm tim đã làm cho độ đặc hiệu của siêu âm tim chỉ đạt 70-86%, độ đặc hiệu còn có thể thay đổi tùy thuộc vào chất lượng hình ảnh và kỹ năng của người thực hiện siêu âm. Chính vì vậy, chụp cộng hưởng từ tim có tiêm tương phản từ đã trở thành một tiêu chuẩn đáng tin cậy hơn trong chẩn đoán bệnh với độ đặc hiệu cao hơn. Trong thực hành lâm sàng, tiêu chí được sử dụng là phương pháp đo lường của Petersen. Trong đó chẩn đoán tăng sinh cơ bè khi tỉ lệ cơ bè/cơ tim đặc ≥ 2,3 ở cuối thì tâm trương với các giá trị về độ nhạy, độ đặc hiệu, tiên đoán dương và tiên đoán âm lần lượt là 86%, 99%, 75% và 99% [9].
Điều trị
Hiện tại, không có phương pháp điều trị đặc hiệu cho bệnh, ngoài việc kiểm soát các biến chứng như suy tim, rối loạn nhịp nguy hiểm, phòng ngừa thuyên tắc huyết khối khi có chỉ định. Các bệnh nhân không có triệu chứng cần được theo dõi định kỳ, vì các biểu hiện có thể xuất hiện muộn.
Tiên lượng bệnh phụ thuộc phần lớn vào mức độ cải thiện các triệu chứng suy tim trong quá trình điều trị và theo dõi. Theo tác giả Oechslin và cộng sự [6] thì tiên lượng khá xấu với tỉ lệ tử vong cao, cần phải được theo dõi và điều trị kịp thời các biến chứng.
III.2. Hai trường hợp báo cáo: đều là bệnh nhân nữ, trẻ tuổi, với triệu chứng lâm sàng gợi ý của suy tim. Qua tầm soát bệnh lý tim mạch cho thấy cả hai trường hợp có kết quả siêu âm tim là giãn buồng thất trái và phân suất tống máu thất trái (EF) giảm hướng nghĩ đến bệnh cơ tim giãn. Tuy nhiên, nguyên nhân bệnh lý cơ tim giãn ở cả 2 trường hợp cần phải được xác định để có thể theo dõi và điều trị tốt hơn. Kết quả trên chụp cộng hưởng từ có tiêm tương phản từ đã cho kết quả chẩn đoán bệnh cơ tim thể xốp tâm thất trái (trường hợp 1) và cả hai tâm thất trái – tâm thất phải (trường hợp 2) với tiêu chuẩn tỷ lệ cơ bè/ cơ tim bằng 2,3 và 3,3 kèm theo suy chức năng thất trái nặng EF = 28,8% và 38,34% tương ứng với trường hợp 1 và trường hợp 2. Như vậy, chẩn đoán bệnh cơ tim thể xốp thất trái trên bệnh nhân được xác định chủ yếu dựa vào kết quả siêu âm tim gợi ý bệnh cơ tim giãn và kết quả chụp cộng hưởng từ có tiêm tương phản từ cho chẩn đoán xác định nguyên nhân với biến chứng suy tim phân suất tống máu giảm. Trường hợp 2 là một bệnh cảnh hiếm gặp của bệnh cơ tim thể xốp khi tổn thương ghi nhận ở cả hai tâm thất phải và trái. Điều trị kiểm soát biến chứng suy tim với phác đồ điều trị 4 thuốc theo khuyến cáo của Hội tim Châu Âu [10] và Bộ Y tế [11] cho thấy bệnh nhân đáp ứng tốt với điều trị. Bệnh nhân vẫn đang được theo dõi định kỳ tại Khoa Khám bệnh – Bệnh viện Đại học Y Dược Tp. Hồ Chí Minh, tiếp tục đánh giá đáp ứng điều trị suy tim, theo dõi và điều trị kịp thời các biến chứng khác có thể xảy ra.
Như vậy, với biểu hiện triệu chứng gợi ý trên lâm sàng và với các kết quả xét nghiệm ghi nhận được cũng như đáp ứng với điều trị suy tim theo phác đồ được khuyến cáo hiện nay cho thấy đây là 2 trường hợp bệnh cơ tim thể xốp có biến chứng suy tim, không phải là sự thay đổi sinh lý, do vậy cần phải được chẩn đoán sớm, điều trị tích cực và theo dõi lâu dài.
IV. KẾT LUẬN
Mặc dù bệnh cơ tim thể xốp là nguyên nhân tương đối hiếm gặp gây suy giảm chức năng thất trái, hai trường hợp báo cáo của chúng tôi cho thấy nên chú ý tìm nguyên nhân này trên những bệnh nhân với chẩn đoán bệnh cơ tim giãn xuất hiện sớm khi không tìm thấy các nguyên nhân thường gặp khác. Phương pháp chẩn đoán hình ảnh có vai trò quan trọng trong chẩn đoán, trong đó chụp cộng hưởng từ có tiêm tương phản từ là phương tiện giúp chẩn đoán xác định bệnh. Điều trị bệnh cơ tim thể xốp tâm thất trái với biến chứng suy tim cho thấy đáp ứng tốt theo phác đồ của các khuyến cáo hiện hành.
TÀI LIỆU THAM KHẢO:
- Wengrofsky P, Armenia C, Oleszak F, et al. Left ventricular trabeculation and noncompaction cardiomyopathy: a review. EC Clin Exp Anat. 2019;2(6):267–283.
- Petersen, S, Jensen, B, Aung, N. et al. Excessive Trabeculation of the Left Ventricle: JACC: Cardiovascular Imaging Expert Panel Paper. J Am Coll Cardiol Img. 2023 Mar, 16 (3) 408–425.
- Oechslin E, Jenni R. Left ventricular noncompaction from physiologic remodeling to noncompaction cardiomyopathy. J Am Coll Cardiol. 2018 doi: 10.1016/j.jacc.2017.12.031.
- Jenni R, Oechslin E, Schneider J, Attenhofer Jost C, Kaufmann PA. Echocardiographic and pathoanatomical characteristics of isolated left ventricular non-compaction: a step towards classification as a distinct cardiomyopathy. Heart (British Cardiac Society) 2001;86(6):666–671. doi: 10.1136/heart.86.6.666.
- Weiford BC, Subbarao VD, Mulhern KM. Noncompaction of the ventricular myocardium. Circulation. 2004;109:2965–2971. doi: 10.1161/01.CIR.0000132478.60674.
- Oechslin EN, Attenhofer Jost CH, Rojas JR, Kaufmann PA, Jenni R. Long-term follow-up of 34 adults with isolated left ventricular non- compaction: a distinct cardiomyopathy with poor prognosis. J Am Coll Cardiol. 2000;36(2):493– 500.
- Bennett CE, Freudenberger R. The current approach to diagnosis and management of left ventricular noncompaction cardiomyopathy: review of the literature. Cardiol Res Pract. 2016;2016:7. doi: 10.1155/2016/5172308.
- Jenni R, Oechslin E, Schneider J, Attenhofer Jost C, Kaufmann PA. Echocardiographic and pathoanatomical characteristics of isolated left ventricular non-compaction: a step towards classi- fication as a distinct cardiomyopathy. Heart. 2001;86:666–71.
- Petersen SE, Selvanayagam JB, Wiesmann F, et al. Left ventricular non-compaction: insights from cardiovascular magnetic resonance imaging. J Am Coll Cardiol. 2005;46:101–5.
- Theresa A M, Marco M, Marianna A, et al. 2023 Focused Update of the 2021 ESC Guidelines for the diagnosis and treatment of acute and chronic heart failure: Developed by the task force for the diagnosis and treatment of acute and chronic heart failure of the European Society of Cardiology (ESC) With the special contribution of the Heart Failure Association (HFA) of the ESC, European Heart Journal, Volume 44, Issue 37, 1 October 2023, Pages 3627–3639, https://doi.org/10.1093/eurheartj/ehad195.
- Bộ Y tế. Quyết định 1857/QĐ-BYT ngày 05/07/2022: Hướng dẫn chẩn đoán và điều trị suy tim cấp và mạn.







