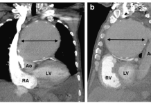
Trường hợp lâm sàng
Xử trí dị vật buồng tim: Nhân một trường hợp lâm sàng
BS.CK2 HUỲNH THANH KIỀU(*)
BS.CK1 PHẠM PHONG LUÂN(*)
PGS.TS. BS PHẠM NGUYỄN VINH(*)
THS. BS. TRẦN THÚC KHANG(*)
BS. NGUYỄN THỊ NGỌC HÂN(**)
(*) Trung tâm Tim mạch, BV...
Viêm động mạch chủ do nhiễm trùng – Ca lâm sàng và tổng quan...
ThS. BS. LÊ THỊ LAN HƯƠNG
PGS.TS.BS. PHẠM NGUYỄN VINH
Bệnh viện đa khoa Tâm Anh TP. Hồ Chí Minh
(...)
PHẨN 2: TỔNG QUAN Y VĂN
2.1 Định...
Viêm động mạch chủ do nhiễm trùng – Ca lâm sàng và tổng quan...
ThS. BS. LÊ THỊ LAN HƯƠNG
PGS.TS.BS. PHẠM NGUYỄN VINH
Bệnh viện đa khoa Tâm Anh TP. Hồ Chí Minh
TÓM TẮT
Viêm động mạch chủ (Aortitis) là...
Chẩn đoán và điều trị tăng huyết áp theo cơ chế huyết động học...
Phần 4: Tăng huyết áp kèm tăng tần số tim - Chú ý bẫy huyết động rất thường gặp
Ths BSNT. ĐOÀN TUẤN VŨ
Viện Tim...
Chẩn đoán và điều trị tăng huyết áp theo cơ chế huyết động học...
Phần 3: Trường hợp tăng huyết áp thể tăng sức cản mạch hệ thống
ThS. BSNT. ĐOÀN TUẤN VŨ
Viện Tim Mạch Quốc Gia- BV Bạch...
Chẩn đoán và điều trị tăng huyết áp theo cơ chế huyết động học...
ThS. BSNT. ĐOÀN TUẤN VŨ
Viện Tim Mạch Quốc Gia- BV Bạch Mai
I. GIỚI THIỆU
Hơn 95% bệnh nhân tăng huyết áp (THA) hiện nay đang...
DANH MỤC
- Tổng quan các vấn đề tim mạch học
- Tổng hợp từ nghiên cứu trên lâm sàng
- Trường hợp lâm sàng
- Thông tin khoa học
- Huấn luyện nâng cao và chuyên sâu
- Bồi dưỡng sau đại học
- Tim mạch cho cộng đồng
- Y học thực chứng
- Dinh dưỡng – Thực phẩm thuốc
- Thống kê ứng dụng trong nghiên cứu tim mạch học
- Hoạt động hội
- Thông tin dành cho cán bộ y tế
- Cập nhật phác đồ điều trị
- Tim mạch học giữa đại dịch COVID-19













